FAQs
| Your First Visit
| Financial Info
| Office Tour
What Sets Us Apart
| Treatment Options
| Patient Forms
| Before & After Gallery
| Testimonials
Before & After Gallery
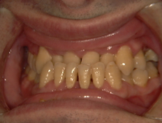
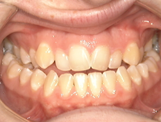
The photos below are actual patients of Dr. Karlin.
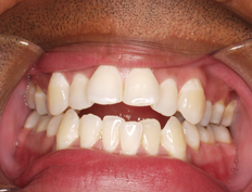
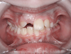
Before
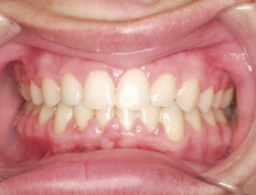
After
Deep overbite
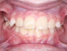
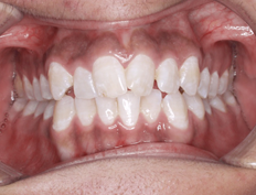
Before
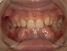
After
Underbite, treated without surgery
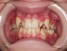
Before
After
Impacted tooth
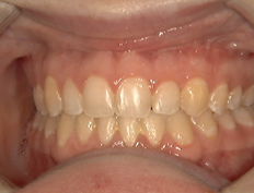
Before
After
Invisalign
Before
After
Surgical orthodontics
Before
After
Posterior crossbite, early treatment
Before
After
Open bite
Before
After
Spacing
Before
After
Missing teeth/implants
Before
After
Severe crowding, treated without extractions

